Aquilion Prime SP
Complete Clinical Capability.
From fast patient throughput to robust cardiac scanning and new diagnostic capabilities, the new Aquilion Prime SP is a CT system of choice for all your imaging needs.
A better balance between image quality and dose.
Built with premium technology migrated straight from our high-end CT, Aquilion Prime SP empowers your facility to handle all patients from pediatric to bariatric, even the most challenging cases, while providing all staff with a fast and efficient solution to make their work easy.
- Up to 4 cm z-axis coverage
- 0.5 mm × 80 PUREViSION detector row
- PUREViSION Optics
- 0.35 sec rotation
Wide, open and low, put your patients at ease
Patient Centric Design
- 78 cm gantry bore
- 47 cm couch width
- 2000 mm scan range
- 33 cm minimum couch top height
- 300 kg capacity couch
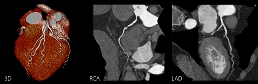
Robust cardiac CT examinations - automated, adaptive and easy
Cardiac CT imaging has never been more robust than with the Aquilion Prime SP. The intelligent SURECardio engine is coded with the experience of thousands of cardiac examinations, ensuring scan and exposure parameters adapt exactly to your patients in real time.
Enables multiple specialized studies within a single scan.
vHP 3-Phase (vHP3)*
vHP 3-Phase* allows three scans to be performed in a single acquisition, seamlessly transitioning between scan parameters optimized for each body region. vHP 3-Phase has potential for less contrast media and lower radiation dose by providing the flexibility to seamlessly transition.
- Between ECG Gating on and off during a cardiac scan
- Between dose and image quality during a CAP scan
- Between fast and detailed pitch during a trauma scan
ONCOLOGY IMAGING
Aquilion Prime SP empowers your ability to detect, stage and track tumors with color iodine maps* available for every routine multi-phased liver exam.
